hirox螺旋口腔CBCT
Helical Scanning Imaging
Technology
Industry first
Wide Application
Compact size + C-arm structure
16×15cm
FOV
16x15cm BIG VIEW
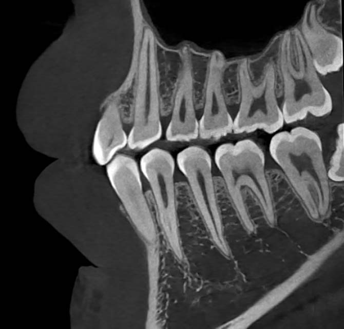
High Precision The spatial resolution up to 28 lp/cm
Compact Size Integrated structure, saving more space
High Efficiency Simple and easy to use
Next-generation innovation
Helical Scanning Imaging Technology for Dental CBCT

Effortlessly achieves non-fusion large-field imaging,while maintain high resolution

Single Scan Suffices
A single scan can simultaneously acquire CT, 3D panoramic images, 3D cephalometric images, and 3D TMJ images.
全3D诊疗,提供完善的口腔临床解决方案
CT
Comprehensive 3D volumetric images, supporting interactive rotation from any angle and local magnification, along with multi-slice views. This helps doctors observe the shape and spatial relationships of various anatomical structures, facilitating communication between doctors and patients.
全3D诊疗,提供完善的口腔临床解决方案
3D TMJ view
After the scan is completed, the software automatically generates multi-slice TMJ views and allows for adjustments to different display effects as needed,
全3D诊疗,提供完善的口腔临床解决方案
3D cephalometric images
The 3D frontal and lateral views are also three-dimensional images based on CT data. The software automatically adjusts the images to achieve the best frontal and lateral angles, significantly improving positioning tolerance. Additionally, the 3D frontal and lateral views can perform unilateral segmentation for more accurate measurement of malocclusion cases.
全3D诊疗,提供完善的口腔临床解决方案
3D panoramic images
3D panoramic imaging presents CT data in a panoramic viewing format. Doctors can view the full oral cavity as with traditional panoramic imaging and further examine lesions from multiple cross-sectional perspectives. Lesions are less likely to be obscured by overlapping structures, reducing the risk of misdiagnosis.
  • Large Field of View
    Hirox-O
  • Maximum FOV of 16×15 cm

    The FOV of Hirox-O can reach up to 16×15 cm, fully meeting clinical diagnostic needs. Multiple field sizes are available for selection, including 16×9 cm, 8×8 cm, and 4×4 cm.

    Hirox-O

    • 16×15cm
    • 16×9cm
    • 8×8cm
    • 4×4cm
16×15cm FOV Comprehensive view of the oral and maxillofacial area
High-definition imaging
Narrower X-ray beam angle By utilizing helical scanning imaging technology, the Hirox-O scans with a small cone angle X-ray, effectively reducing cone beam artifacts and delivering clearer images.
20 years of experience in medical imaging technology All imaging algorithms are self-developed
Physics-driven series artifact correction algorithms
Base on physics-driven, allowing for artifact elimination at the physical level, ensuring that real image details are preserved.
High-definition low-redundancy reconstruction algorithm Fully utilizing the redundancy in scanning geometric data and parallel computing via GPU allows for faster and more accurate image reconstruction.
Low dose imaging algorithm The low-dose imaging algorithm can reduce radiation exposure for patients while maintaining image clarity.
28lp/cm spatial resolution Tissue details are clearly visible
Hirox-O Hirox-O
High Efficiency

Multiple technological advantages, comprehensively enhancing diagnostic efficiency

  • 效率高
    Single Scan Suffices
    A single scan can simultaneously acquire CT, 3D
    panoramic images, 3D cephalometric images,
    and 3D TMJ images. Reduce patient repositioning,
    Improve examination work efficiency.
  • Simple and comfortable
    positioning
    Simple and efficient with voice assistant,
    More comfortable without head clips or ear clips.
    效率高
  • 效率高
    Fast scanning
    Scan time is only 10 seconds or 20 seconds.
  • 2 seconds rapid
    image reconstruction
    Images are available immediately after the scan
    效率高
More clinical application possibilities The compact size and open C-arm structure design allow for more application possibilities for the Hirox.。Under the premise of meeting radiation protection requirements, Hirox can be deployed to almost any clinical scenario,And it can be easily relocated.
Hirox-O Hirox-O
Elegant appearance

Unlike the uniform designs of competitors, the Hirox has a unique and distinctive appearance,

making it a standout in any clinical environment while offering color customization for greater business flexibility.

Enhanced with an intelligent imaging system

“AI × Cloud” CT Image System - LamTau

AI云影像中心
兰台医令

LamTau is independently developed by YOFO Medical
Integrating CT reading, remote CT reading, AI-assisted diagnosis, and cloud storage expansion
Enable interconnectivity of data from multiple devices
AI Functions + AI Cephalometry Remote CT reading
Regardless of whether there is an internet connection, CT reading and Cephalometry can be conducted at the Lamtau. Multiple AI image functions make diagnosis more efficient. The cloud function of Lamtau can easily achieve remote CT reading and consultation functions. By specifying sharing, remote terminals can immediately see shared C T data and diagnostic items.
Dental CT intelligent report Cloud storage expansion
Based on CT data, it is more accurate and can intelligently identify lesions, output auxiliary diagnostic reports with one click, greatly improving the efficiency of doctor-patient communication. If you want to perform storage expansion or backup, you can upload the data as needed to the LamTau private server.
AI图像处理+AI正畸测量
无论是否有网络,都可在兰台医令影像中心上进行CT阅片和正畸测量。多项AI图像处理功能,让医生操作化繁为简。
远程阅片会诊
兰台医令的云影像功能,可轻松实现远程阅片和远程会诊。只需通过指定分享,远程端就能即刻看到共享数据和诊疗项目。
口腔CT智能报告
基于CT影像数据,通过AI进行病灶分析,辅助临床医生提升诊断效率,有效助力医患沟通,让患者可随时随地查阅个人的口腔健康状态。
云储存扩容
可将影像数据按需选择上传到兰台医令私服服务器,实现存储扩容和备份的功能。
Lean More
More Details
全3D诊疗,提供完善的口腔临床解决方案
全3D诊疗,提供完善的口腔临床解决方案
全3D诊疗,提供完善的口腔临床解决方案
Product Parameters
Imaging mode
Automatic 3D “All-in-one” imaging
Imaging FOV
16×15cm、16×9cm、8×8cm、4×4cm
Scanning time
10s、20s
Reconstruction
2s
Grey scale
16bit
Spatial resolution
up to 28lp/cm
Voxel size
0.06mm~0.25mm
Tube voltage
60~90kV
Tube current
2~12mA
Size
1.4m(L) × 1.1m(W)× 1.75m(H)
Optional Configurations
色彩定制
Color customization

Three color options available

摆位语音助手
Voice assistant

provides friendly positioning voice prompts

射源散热模组
Heat dissipation module

Significantly improves continuous working capacity

Installation Effect

Provides CT room
Space Design Reference

定制的CT室

二维码
Contact Us

The World's First
Helical Dental CBCT
螺旋扫描成像技术 螺旋扫描成像技术 螺旋扫描成像技术 螺旋扫描成像技术
Single Scan Suffices
A single scan can simultaneously acquire CT, 3D panoramic images, 3D cephalometric images, and 3D TMJ images.
CT 3D TMJ view 3D cephalometric images 3D panoramic images
Comprehensive 3D volumetric images, supporting interactive rotation from any angle and local magnification, along with multi-slice views. This helps doctors observe the shape and spatial relationships of various anatomical structures, facilitating communication between doctors and patients.
Large Field of View
Maximum FOV of 16×15 cm
The FOV of Hirox-O can reach up to 16×15 cm, fully meeting clinical diagnostic needs. Multiple field sizes are available for selection, including 16×9 cm, 8×8 cm, and 4×4 cm.
Hirox-O
  • 16×15cm
  • 16×9cm
  • 8×8cm
  • 4×4cm
16×15cm FOV Comprehensive view of the oral and
maxillofacial area
Hirox-O Hirox-O
High-definition
Imaging
Narrower X-ray beam angle By utilizing helical scanning imaging technology, the Hirox-O scans with a small cone angle X-ray, effectively reducing cone beam artifacts and delivering clearer images.
20 Years of Experience in
Medical Imaging Technology

All imaging algorithms are self-developed

28lp/cm spatial resolution

Tissue details are clearly visible

Hirox-O Hirox-O
High Efficiency
Multiple technological advantages,
comprehensively enhancing diagnostic efficiency
只拍一次就好
Single Scan Suffices
A single scan can simultaneously acquire CT, 3D panoramic images, 3D cephalometric images, and 3D TMJ images. Reduce patient repositioning,Improve examination work efficiency.
Simple and comfortable positioning
Simple and efficient with voice assistant, More comfortable without head clips or ear clips.
Fast scanning Scan time is only 10 seconds or 20 seconds.
2 seconds rapid image reconstruction Images are available immediately after the scan
More Clinical Application Possibilities The compact size and open C-arm structure design allow for more application possibilities for the Hirox.。Under the premise of meeting radiation protection requirements, Hirox can be deployed to almost any clinical scenario,And it can be easily relocated.
Hirox-O Hirox-O
Elegant appearance Unlike the uniform designs of competitors, the Hirox has a unique and distinctive appearance, making it a standout in any clinical environment while offering color customization for greater business flexibility.
Intelligent imaging system
“AI × Cloud” CT Image System LamTau
Integrating CT reading, remote CT reading, AI-assisted diagnosis, and cloud storage expansion, Enable interconnectivity of data from multiple devices
AI Functions + Cephalometry Regardless of whether there is an internet connection, CT reading and Cephalometry can be conducted at the Lamtau. Multiple AI image functions make diagnosis more efficient.
Remote CT reading The cloud function of Lamtau can easily achieve remote CT reading and consultation functions. By specifying sharing, remote terminals can immediately see shared C T data and diagnostic items.
Dental CT intelligent report Based on CT data, it is more accurate and can intelligently identify lesions, output auxiliary diagnostic reports with one click, greatly improving the efficiency of doctor-patient communication.
Cloud storage expansion If you want to perform storage expansion or backup, you can upload the data as needed to the LamTau private server
Lean More
More Details
全3D诊疗,提供完善的口腔临床解决方案
全3D诊疗,提供完善的口腔临床解决方案
全3D诊疗,提供完善的口腔临床解决方案
Imaging mode
Automatic 3D “All-in-one” imaging
Imaging FOV
16×15cm、16×9cm、8×8cm、4×4cm
Scanning time
10s、20s
Reconstruction
2s
Grey scale
16bit
Spatial resolution
up to 28lp/cm
Tube voltage
60~90kV
Tube current
2~12mA
Voxel size
0.06mm~0.25mm
Size
1.12m × 0.72mm × 1.48m(高)
Optional Configurations
Color customization Three colors available
Heat dissipation module Significantly improves
continuous working capacity
Voice assistant Provides friendly positioning
voice prompts
Installation effect
Contact Us

Top