
远程阅片会诊 一套兰台医令就够

高效解决
远程阅片会诊需求
兰台医令云+影像中心,是有方医疗为CBCT影像数据多端互联打造的解决方案。
完成兰台医令登录认证的CT阅片软件,可以实现多端数据共享。充分满足院内数据共享、患者转诊会诊等需求。
免费使用 兰台医令提供的永久免费套餐,包含一定额度的云存储空间,所有注册用户均可使用。

如果需要进行远程阅片,可选中兰台医令上的指定患者数据,通过“一键分享”,数据即刻出现在被分享者阅片软件的图像列表中,无需额外的数据上传时间。
实时 ·会诊共享
诊疗方案保存后实时共享
让协作宛如近在眼前

医疗机构内的医生可以将有疑惑的病灶定位保存,远程专家打开阅片软件后可快速定位到指定的位置进行分析。
远程诊疗方案保存后,会实时共享给医疗机构内的医生以供查阅。

存储扩容 完成拍摄后,可将图像数据手动或自动上传到兰台医令云影像中心,实现存储扩容和图像备份的功能。

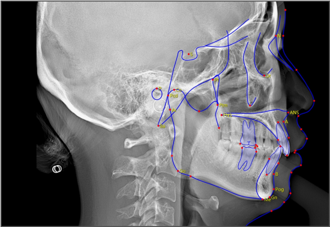
AI 加持,事半功倍 兰台医令的阅片软件包含 AI 神经管绘制、AI 气道分析、AI TMJ分析、AI 牙弓曲线、AI 正畸头影测量等智能图像处理功能,可大大提高诊断效率,实现更好的医患沟通,让医生事半功倍。

极速传输
图像数据采用高阶无损压缩技术,在保障图像质量的同时,数据尺寸仅为常规存储的1/4。整体传输速度提高了4倍。 “云”非云
无网离线亦可用
在无网络的场景,用户亦可访问本机存储或已下载的图像数据,可正常使用全部AI图像处理功能,方便专家进行会诊、教学。
信息安全无忧
网络数据传输采用独特的加密算法,确保患者隐私数据的安全。 独特的加密算法

分享数据可隐藏患者关键私密数据,充分保护患者隐私信息。 匿名分享

只有经过分享的数据才能远程可见,未分享的数据安全的存储在医疗机构的私有云空间中。极大减小了患者信息泄露的风险。 指定分享

扫码体验兰台医令