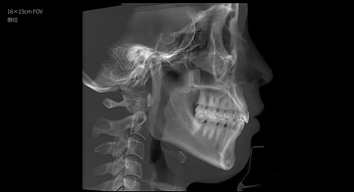
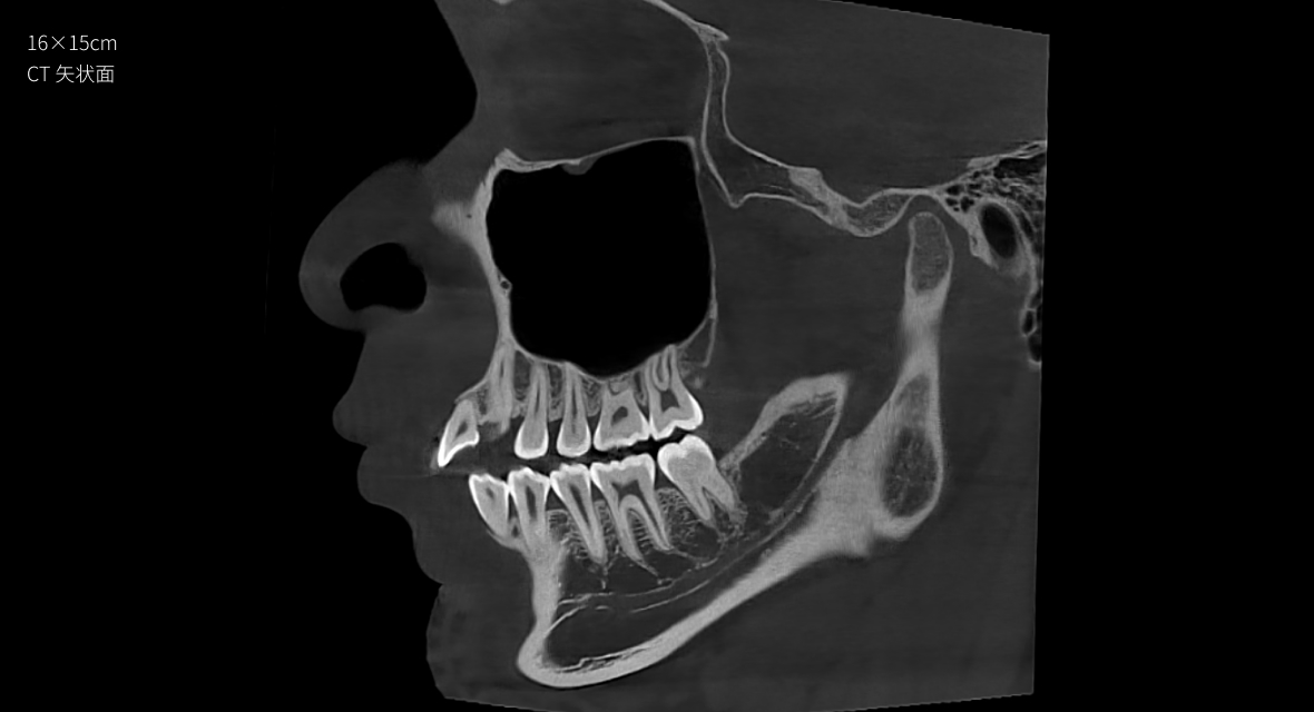
16×15cm大视野
颌面全况一览无余
高清精准成像
且看Hirox-O,如何实现高精准成像
更小的X光射角
得益于螺旋扫描成像技术,Hirox-O可以用小锥角X光进行扫描,可大大减少锥束伪影的产生,让成像更清晰。
20年医学影像技术积累
有方医疗自研全系列影像算法加持,实现高清精准成像
Physics-drivenss系列
伪影校正算法
基于物理驱动,可以在保留图像真实细节的情况下,实现物理层面的伪影消除
高清低冗重建算法
充分利用扫描几何数据冗余,通过GPU并行计算,让图像重建的质量和效率大大提升,让简CT拍完可10s出图。
低剂量成像算法
有方医疗核心算法,实现同样清晰度的图像,需要的辐射剂量更低。
-
- 只拍一次就好
- 一次拍摄同时获得CT、全景、正侧位影像
- 减少患者重复摆位,提高拍摄效率
-
- 摆位简单舒适
- 可搭配语音助手,让摆位更加简单高效
- 无需头部夹定,患者体验更舒适
-
- 10s、20s快扫描
- 大视野CT扫描时间仅需20s
-
- 2s快速重建出图
- 即拍即得不用多等
应用场景广
小巧的体积+开放式C型臂结构设计,让信CT可以有更多临床可能。在符合防护要求的前提下,信CT几乎可以部署到任何场景,且可很便捷地进行场景切换。
高颜值
有别于同类产品千篇一律的造型,信CT的外观独树一帜
不仅优美富有科技感,还支持多彩定制,充分满足不同的业务需求,为口腔机构品牌赋能
集CT阅片、远程阅片会诊、AI辅助诊断、云存储扩容为一体,让多端影像数据可互联
AI图像处理+AI正畸测量
远程阅片会诊
无论是否有网络,都可在兰台医令影像中心上进行CT阅片和正畸测量。多项AI图像处理功能,让医生操作化繁为简。
兰台医令的云影像功能,可轻松实现远程阅片和远程会诊。只需通过指定分享,远程端就能即刻看到共享数据和诊疗项目。
口腔CT智能报告
云储存扩容
基于CT影像数据,通过AI进行病灶分析,辅助临床医生提升诊断效率,有效助力医患沟通,让患者可随时随地查阅个人的口腔健康状态。
可将影像数据按需选择上传到兰台医令私服服务器,实现存储扩容和备份的功能。
- AI图像处理+AI正畸测量
- 无论是否有网络,都可在兰台医令影像中心上进行CT阅片和正畸测量。多项AI图像处理功能,让医生操作化繁为简。
- 远程阅片会诊
- 兰台医令的云影像功能,可轻松实现远程阅片和远程会诊。只需通过指定分享,远程端就能即刻看到共享数据和诊疗项目。
- 口腔CT智能报告
- 基于CT影像数据,通过AI进行病灶分析,辅助临床医生提升诊断效率,有效助力医患沟通,让患者可随时随地查阅个人的口腔健康状态。
- 云储存扩容
- 可将影像数据按需选择上传到兰台医令私服服务器,实现存储扩容和备份的功能。
了解更多
进一步了解
核心参数
- 型号全称
- YOFO-HIROX-O
- 成像模式
- 智能3D”一成三”成像:一次拍摄,自动生成CT、3D全景和3D头颅正侧位片
- 成像视野
- 16×15cm、16×9cm、8×8cm、4×4cm
- 扫描时间
- 10s、20s
- 快速重建出图
- 2s
- 成像灰度
- 16bit
- 空间分辨率
- 最高28lp/cm
- 体素尺寸
- 0.06mm~0.25mm
- 尺寸
- 长 1119mm × 宽 717mm × 高 1476mm
可选用配置
色彩定制
外壳可选云朵粉、天空蓝配色
摆位语音助手
增加友好的摆位提示语音
射源散热模组
大大增强连续拍摄能力
铅房效果
提供可选的
CT室空间设计方案
预约体验
欢迎关注我们的微信公众号(有方医疗科技)获取我们的最新动态,如果需要预约体验或成为代理商,可联系
400-878-2358 咨询,或留下联系方式,以便我们进一步与您沟通。
欢迎关注我们的微信公众号(
有方医疗科技
)获取我们的最新动态。如有进一步的需求,可联系:
400-878-2358
或留下联系方式,以便我们进一步与您沟通。
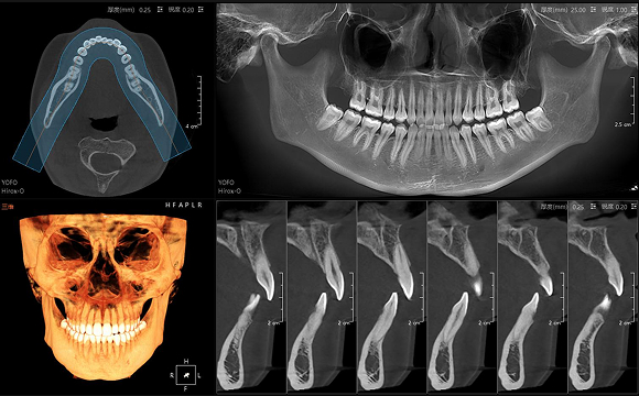
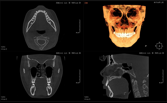
大视野 · 螺旋口腔CBCT
拍一次就好
只需扫描一次,可同时获得
CT、3D全景和3D正侧位影像
CT
3D全景
3D正侧位
3D TMJ
完整的三维立体影像,支持交互式任意角度旋转和局部放大,搭配多切面视图,方便医生观察各解剖结构的形态和位置关系,有利于医患沟通。
大视野
视野最大可至16×15cm
多个视野范围可选
Hirox-O的视野最大可至16×15cm,
另有16×9cm、8×8cm、4×4cm视野可选,充分满足临床诊疗需求。
- 16×15cm
- 16×9cm
- 8×8cm
- 4×4cm
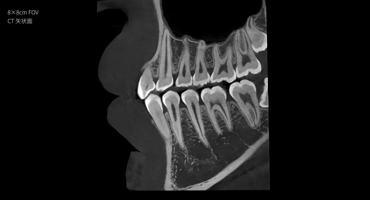
高清精准
且看Hirox-O,如何实现高精准成像
更小的X光射角
得益于螺旋扫描成像技术,Hirox-O可以用小射角X光扫描以获得大视野影像,可显著减少锥束伪影的产生,让成像更清晰。
效率高
多项技术优势,全面提升诊疗效率
只拍一次就好
一次拍摄同时获得CT、全景、正侧位影像
减少患者重复摆位,提高拍摄效率
摆位简单舒适
可搭配语音助手,让摆位更加简单高效
无需头部夹定,患者体验更舒适
10s、20s快扫描
大视野CT扫描时间仅需20s
2s快速重建出图
即拍即得不用多等
应用场景广
小巧的体积+开放式C型臂结构设计,让信CT可以有更多临床可能。在符合防护要求的前提下,信CT几乎可以部署到任何场景,且可很便捷地进行场景切换。
高颜值
有别于同类产品千篇一律的造型,信CT的外观独树一帜。不仅优美富有科技感,还支持多彩定制,充分满足不同的业务需求,为口腔机构品牌赋能。
智能影像系统加持
AI云影像中心
兰台医令
兰台医令是有方医疗自主研发集CT阅片、远程阅片会诊、AI辅助诊断、云存储扩容为一体
多端影像数据可互联的AI云影像平台
AI图像处理+AI正畸测量
无论是否有网络,都可在兰台医令影像中心上进行CT阅片和正畸测量。多项AI图像处理功能,让医生操作化繁为简。
远程阅片会诊
兰台医令的云影像功能,可轻松实现远程阅片和远程会诊。只需通过指定分享,远程端就能即刻看到共享数据和诊疗项目。
口腔CT智能报告
基于CT影像数据,通过AI进行病灶分析,辅助临床医生提升诊断效率,有效助力医患沟通,让患者可随时随地查阅个人的口腔健康状态。
云储存扩容
可将影像数据按需选择上传到兰台医令私服服务器,实现存储扩容和备份的功能。
深入了解
进一步了解
- 型号全称

- 成像模式
智能3D”一成三”成像
一次扫描生成CT+3D全景+3D正侧位
- 成像视野
- 16×15cm、16×9cm、8×8cm、4×4cm
- 扫描时间
- 10s、20s
- 快速重建出图
- 2s
- 成像灰度
- 16bit
- 空间分辨率
- 最高28lp/cm
- 体素尺寸
- 0.06mm~0.25mm
- 设备尺寸
- 1.12m × 0.72mm × 1.48m(高)
可选用配置
色彩定制
外壳可选蓝、粉配色
射源散热模组
大大增强连续拍摄能力
摆位语音助手
增加友好的摆位提示语音
CT室空间设计参考
预约体验
欢迎关注我们的微信公众号(有方医疗科技)获取我们的最新动态,如果需要预约体验或成为代理商,可联系
400-878-2358 咨询,或留下联系方式,以便我们进一步与您沟通。
欢迎关注我们的微信公众号(
有方医疗科技
)获取我们的最新动态。如有进一步的需求,可联系:
400-878-2358
或留下联系方式,以便我们进一步与您沟通。